El accidente cerebrovascular (ACV) o enfermedad carotídea es la tercera causa más común de muerte después de la cardiopatía isquémica y el cáncer. También es la principal causa de alteración neurológica en el mundo occidental.
El ACV aumenta de forma lineal con la edad, y afecta algo más a los varones que a las mujeres.
En España, la incidencia global del ACV oscila entre 150 y 323 casos por 100.000 habitantes y año.

Una enfermedad de origen isquémico
El 80% de los ACV son de origen isquémico, y de ellos el 70% tienen su origen en los vasos extra craneales, siendo el más importante el segmento carotídeo (las arterias del cuello) a nivel de su bifurcación.
Por todo ello, la prevención, el diagnóstico precoz y una terapia adecuada pueden cambiar el pronóstico de un gran número de pacientes.
Este tipo de patología no es importante sólo por la mortalidad que genera, sino por las limitaciones neurológicas graves que secundariamente produce en los pacientes.

¿Cómo llega la sangre hasta el cerebro?
El cerebro está irrigado por las arterias carótidas y las arterias vertebrales. Ambas carótidas se dividen, a la altura del cuello, en carótida externa (irriga la cara) y carótida interna (irriga el cerebro). En esta bifurcación se asientan normalmente los procesos ateromatosos que van a dar lugar a accidentes vasculares cerebrales.
¿Cómo repercuten las lesiones de la carótida en el cerebro?
Existen dos mecanismos que pueden provocar una isquemia cerebral: uno hemodinámico y otro embólico.
Teoría hemodinámica: Se basa en el fracaso de la irrigación al cerebro. La estenosis de una arteria no produce efectos hemodinámicos hasta una reducción crítica en la luz arterial (superior al 70%.). En este umbral pequeños incrementos en el grado de estenosis o tensiones bajas pueden provocar falta de riego cerebral.
En general, los infartos cerebrales por mecanismo hemodinámico se producen por una disminución de la irrigación en áreas del parénquima cerebral más distales a la zona de la lesión.
Teoría embolígena: En este caso, la lesión de los vasos intracraneales se produce por embolias procedentes de placas carotídeas inestables.
Parece lógico pensar que ambos mecanismos participan en la producción del infarto cerebral de origen carotídeo; probablemente la estenosis de la arteria carótida interna condiciona más frecuentemente infartos cerebrales de características hemodinámicas, y las placas inestables provocan embolias arteriales con accidentes isquémicos transitorios.

¿Cómo se diagnostican las lesiones carotídeas?
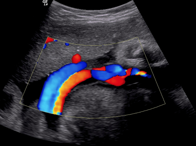
Actualmente la prueba ideal para el diagnóstico y seguimiento de estas lesiones es el eco-doppler, un estudio no invasivo y de alta fiabilidad.
El eco-doppler mide la velocidad de la sangre dentro de la arteria y las características de la placa.
La arteriografía es el patrón de referencia para el diagnóstico de la enfermedad carotídea, pero es una técnica más invasiva que se emplea cuando existen dudas diagnósticas o cuando las lesiones alcanzan el límite terapéutico.
¿Cuál es el tratamiento médico para esta enfermedad?
El objetivo del tratamiento es el mismo que en la enfermedad arterial periférica: prevenir la progresión de la arteriosclerosis para evitar la lesión de los órganos diana, en este caso el cerebro.
Sigue siendo fundamental el control de los factores de riesgo cardiovascular, con especial atención al control de la tensión arterial. El objetivo es mantener tensiones arteriales en torno a 120/80 mm Hg mediante cambios en el estilo de vida y medicación anti-hipertensiva en los casos necesarios.
El régimen farmacológico óptimo podría ser una combinación de diuréticos e inhibidores del enzima conversor de la angiotensina, pero debe ser individualizado según las características especificas del paciente (diabetes mellitus, función renal o afectación cardíaca). El tratamiento con fármacos antiagregantes no puede faltar en estos pacientes.

¿Cuándo está indicado el tratamiento quirúrgico o endovascular?
En pacientes asintomáticos, cuando la lesión supera el 70% de la luz del vaso, es necesario plantear la posibilidad de tratamiento quirúrgico. Esto dependerá en gran medida de la edad del paciente y de su estado general.
Actualmente, la cirugía sigue siendo el tratamiento de elección, por lo menos hasta que no se disponga de más datos y resultados a largo plazo en pacientes tratados con técnica endovascular.
El tratamiento endovascular está indicado en casos de elevado riesgo quirúrgico o casos técnicamente complejos (lesiones poco accesibles para cirugía o en aquellos pacientes con tratamiento radioterápico cervical previo).
No se trata de una cirugía abierta, pero es una técnica que requiere la intervención de diversos especialistas. En Unidad de Patología Vascular disponemos de un equipo médico multidisciplinar con amplia experiencia compuesto por anestesistas, cirujanos vasculares y radiólogos vasculares intervencionistas que realiza este tratamiento en una sala de angiografía digital de altas prestaciones.
En Unidad de Patología Vascular contamos con con la ventaja de estar situados en el área quirúrgica del Hospital Ruber Internacional de Madrid, lo que permite conjugar la alta tecnología con un ambiente de asepsia. Esta situación facilita en gran medida el tratamiento puesto que la calidad de la imagen al visualizar la aorta y sus ramas es de altísimo nivel y favorece el implante preciso de la endoprótesis.
Una vez controlado el aneurisma es importante establecer un protocolo de seguimiento del paciente para evaluar periódicamente el estado de la prótesis y valorar otras arterias. Al tratarse de una enfermedad progresiva puede dar lugar a aneurismas u obstrucciones arteriales en otros territorios.